Cabinet des Docteurs Judith WEISS et Hervé SARFATI
Chirurgiens-Dentistes place de la Nation (Paris 11)
Accueil
Le cabinet
Notre philosophie
Nos traitements
Fiches pédagogiques
Choix esthétiques
Pathologies bucco-dentaires et traitements
Implants
Prothèses
Orthodontie
Hygiène
Vidéos 3D
Choix esthétiques
Pathologies bucco-dentaires
Implants
Prothèses
Hygiène
Prendre rendez-vous
Prendre rendez-vous avec Dr Judith Weiss
Prendre rendez-vous avec Dr Hervé Sarfati
Cabinet des Docteurs Judith WEISS et Hervé SARFATI
Chirurgiens-Dentistes place de la Nation (Paris 11)
13 place de la Nation
75011
Paris
01 43 73 20 52
Accueil
Le cabinet
Notre philosophie
Nos traitements
Fiches pédagogiques
Choix esthétiques
Pathologies bucco-dentaires et traitements
Implants
Prothèses
Orthodontie
Hygiène
Vidéos 3D
Choix esthétiques
Pathologies bucco-dentaires
Implants
Prothèses
Hygiène
Prendre rendez-vous
Prendre rendez-vous avec Dr Judith Weiss
Prendre rendez-vous avec Dr Hervé Sarfati
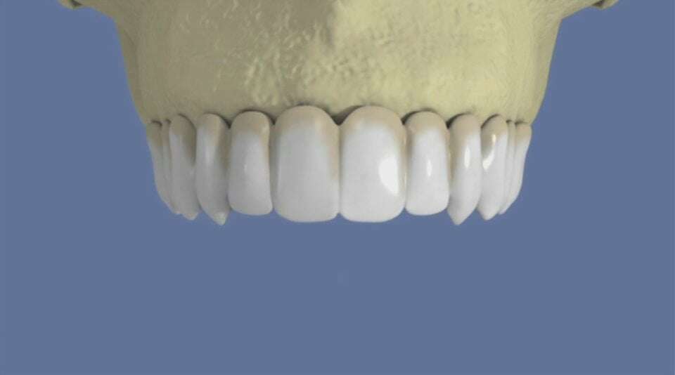
Maxillaire : bridge vissé sans fausse gencive
Vidéos 3D
Partager
Twitter
Partager
Partager
Envoyer
Copier
Catégories
A la une
(4)
Choix Esthétiques
(3)
Hygiène
(3)
Implants
(6)
Informations pratiques
(2)
L'équipement du cabinet dentaire
(4)
L'orthodontie
(5)
Les choix esthétiques
(10)
Les dents chez l'adulte
(2)
Les dents et la santé
(8)
Les gencives
(14)
Les implants
(13)
Les pathologies bucco-dentaires
(28)
Les prothèses
(42)
Omnipratique
(14)
Orthodontie
(4)
Pathologies bucco-dentaires et traitements
(13)
Prendre soin des dents
(7)
Prothèses
(9)
Cabinet des Docteurs Judith WEISS et Hervé SARFATI
+33 1 43 73 20 52
Politique de confidentialité et charte cookie
Mentions légales
Conditions Générales Utilisation
Création par
Connexion